近日,新疆医科大学第四附属医院(自治区中医医院)心脏重症监护科(CCU)在姜述斌教授的指导下,由沈祥礼副主任主刀,成功完成医院首例Bachmann束(巴赫曼束)起搏手术。这一高难度生理性起搏技术的落地,标志着医院心律失常介入治疗迈入更精准、更生理的新阶段,为新疆地区缓慢型心律失常患者提供了全新的治疗选择。


Bachmann束是心房电传导的“高速公路”,是连接左右心房的关键传导通路。相较于传统右心耳起搏,Bachmann束起搏能实现双房同步激动,显著缩短心房激动时间、缩窄P波宽度,更好保护心房功能,有效降低术后房颤、心功能不全等远期并发症风险,是当前心房生理性起搏的前沿优选术式。



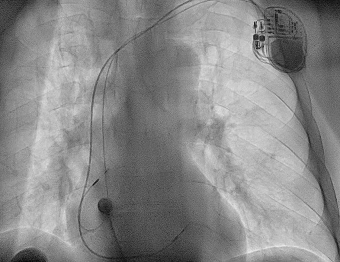
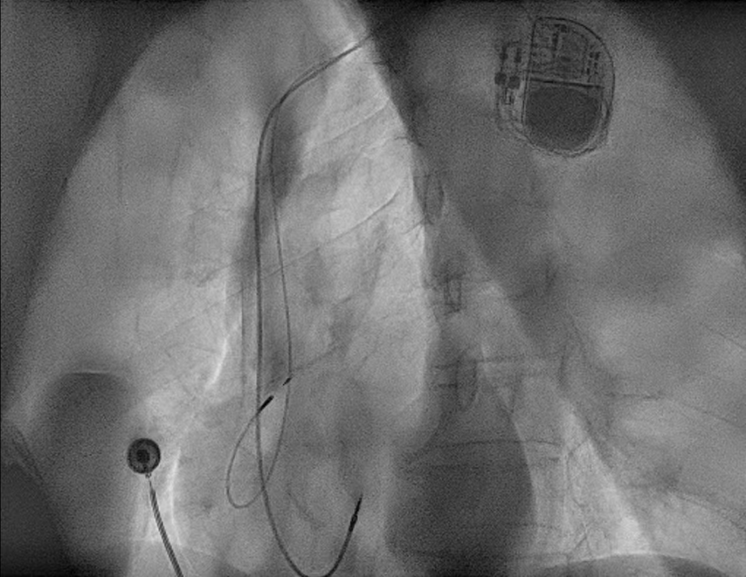
患者李军(化名)因胸痛胸闷一日入住我院CCU科,临床诊断为不稳定型心绞痛、冠状动脉性心脏病、病态窦房结综合征。经过术前讨论决定为患者在局麻下行双腔永久起搏器植入术。科室团队全面评估患者心律、心房传导与心脏结构,精准制定个体化手术方案;术中凭借丰富起搏介入经验与精细操作,顺利将电极精准定位至Bachmann束区域,完成起搏参数测试与系统植入。术后患者心律规整、双房同步性良好,恢复顺利,充分体现该术式的安全性与有效性。术后一个月程控随访显示患者起搏器参数正常,起搏功能良好。


正位 左前斜
术后P波此次Bachmann束起搏首植成功,是科室继左束支起搏、无导线起搏等技术后,在起搏电生理领域的又一重要突破,不仅填补了医院在该领域的技术空白,也进一步提升了区域内心律失常规范化、精准化诊疗水平,为更多心律失常患者带来“心”希望。CCU团队始终坚持中西医结合、技术创新,持续引进与开展心血管介入前沿技术。未来,团队将继续深耕生理性起搏与心电生理技术,依托中西医协同优势,为新疆及周边地区患者提供更安全、高效、优质的心脏诊疗服务。
专家简介
姓名:姜述斌
科室:心脏重症监护室(CCU)
职务:主任
职称:主任医师、教授、硕士/博士研究生导师
社会任职:新疆介入质控专业委员会副主任。新疆中西医结合学会心血管介入专业委员会主任委员;海峡两岸医药卫生交流协会台海医学会心律心电专业委员会副主任委员;中华中医药学会介入心脏病学分会常委;中国医药信息学会心脏监护专业委员会常委;新疆医学会电生理与起搏专业委员会副主任委员;中国医师协会心律学会专业委员会委员;中国医师协会心力衰竭专业委员会第三届委员会委员;中国心力衰竭和心肌病杂志(中英文)编委;中国心脏起搏与心电生理杂志编委。
专业擅长:复杂心律失常导管消融治疗,左心耳封堵术,房颤一站式手术治疗。擅长各类心脏起搏器植入、心血管急危重症的抢救、心血管疑难杂症诊治。
门诊时间:周一上午
姓名:沈祥礼
科室:心脏重症监护室(CCU)
职务:副主任职称:副主任医师、硕士研究生导师
社会任职:中国医疗保健国际交流促进会心律与心电分会委员;中华中医药学会介入心脏病学分会委员;中国心脏联盟心血管疾病预防与康复专业委员会新疆维吾尔自治区联盟常委;中西医结合心血管介入专业委员会委员。冷冻消融全球带教专家,LAmbre左心耳中国带教专家。
专业擅长:心血管危重症诊治;复杂心律失常射频消融术,房颤冷冻消融术;缓慢型心律失常起搏器植入术,无导线起搏器植入术,左束支起搏器植入术,CRT/CRTD/ICD/SICD植入术;冠心病介入治疗;先心病介入封堵术,左心耳封堵术,TAVR及mitraclip手术。
姓名:马骁
科室:CCU
职称:主治医师
专业擅长:心血管常见病多发病和各种危重症的抢救和治疗及常见心动过速疾病的射频消融术。