近期,新疆医科大学第四附属医院(自治区中医医院)肿瘤二科运用冷冻活检技术,成功为三位出血高危患者开展超声引导下肝穿刺活检术。
该穿刺术特点为术中使用冷冻穿刺活检针,较传统同轴活检术极大降低了患者出血风险。同时该技术为原位活检术,较传统的“冲程活检”大大降低了正常组织损伤,减少对患者的伤害。原理为:穿刺针芯进入病灶内部,确定穿刺位置后,通过针道释放二氧化碳,利用高压二氧化碳“凝华”物理变化过程,瞬间对穿刺组织降温及冷冻,同时完成旋切活检。优势:首先在于“先冷冻,再活检”,降低组织出血风险;其次使用旋切活检技术,获得的标本量是切割活检的2-3倍,减少活检次数。大大降低穿刺出血高危患者出血量及出血风险。
案例分享

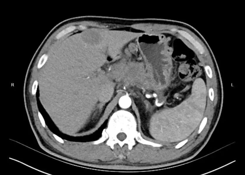
患者男性,年龄,发现肝占位一月余,于2026-03-31在超声引导下行肝占位穿刺活检。

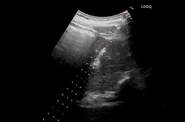
(超声引导下可见红色区域为肝内占位灶,黄色区域为伴行动脉)(超声引导下可见红色区域为肝内占位灶,黄色区域为伴行动脉)
术后病理提示:胰腺神经内分泌癌肝转移。该技术极大减少了危险部位及出血高危患者的出血风险,尤其适用于肝、肺、肾等血供丰富组织的穿刺活检。同时减少了穿刺次数,降低患者穿刺痛苦。
专家简介姓名:曾凡业
科室:肿瘤二科
职称:主任医师、硕士研究生导师
社会任职:乌鲁木齐市中医医院肿瘤科名誉主任,亚太卫生健康协会传统医学与肿瘤康复专业委员会副主任委员,中国中西医结合学会肿瘤专业委员会常务委员,新疆抗癌协会肿瘤介入专业委员会委员
专业擅长:主要从事各种肿瘤的中西医结合治疗,肿瘤微创介入治疗,肿瘤穿刺活检诊断等工作。
门诊时间:每周二、周三、周四下午
姓名:樊玉祥
科室:肿瘤二科
职称:副主任医师,硕士研究生导师
社会任职:全国中西医委员会精准治疗协会委员,中国老年和老年医学会肿瘤康复分会委员。
专业擅长:各类良恶性肿瘤微创介入诊断与治疗工作。常见肿瘤中西医结合治疗。
门诊时间:周四下午
姓名:赵俊涛
科室:肿瘤二科
职称:副主任医师
社会任职:中华中医药学会肿瘤分会青年委员,中国民族医药协会肿瘤学分会委员,中国老年学和老年医学会肿瘤康复分会委员
专业擅长:主要从事各种肿瘤的中医结合治疗,尤其对肿瘤介入术后并发症治疗有丰富经验。可完成肿瘤介入常规手术。
门诊时间:每一、二、四、上午,周五下午。