争分夺秒打通“肠道生命线”血管外科成功救治高龄肠系膜上动脉栓塞患者守护肠道健康
近日,新疆医科大学第四附属医院(自治区中医医院)血管外科团队凭借精湛的微创介入技术,成功为夜间急诊入院的一名72岁高龄的肠系膜上动脉栓塞患者实施经皮肠系膜上动脉取栓术,在急诊科、血管外科、检验科、医学影像科和手术室的密切配合下,患者从夜间22点入院经历会诊、检查至开始手术仅用时四个半小时,在生死时速中为患者抢回生机,充分彰显了医院在急危重症血管疾病救治方面的过硬实力。
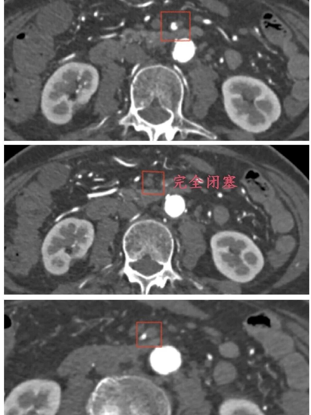
(资料图片)患者刘女士(化名)突发腹痛4.5小时,伴恶心呕吐、解稀便,紧急就诊于医院急诊科。刘女士有24年高血压、2型糖尿病病史,合并冠心病、心房颤动等多种基础疾病,还自行停用房颤抗凝药,身体基础条件差。急诊科接诊后迅速请血管外科会诊,冯涛副主任医师结合患者病史及症状,高度怀疑血管栓塞,建议完善肠系膜上动脉CTA检查。检查结果显示,患者肠系膜上动脉远段及胃左动脉、脾动脉近段动脉栓塞并脾梗死,同时合并腹主动脉、髂动脉多发狭窄等,病情危急,随时可能因肠管缺血坏死危及生命。


时间就是生命,鉴于患者高龄、基础病多,因传统开腹手术创伤大、风险高,术后并发症多,恢复时间较长。血管外科团队反复评估病情,与家属充分沟通后,决定采用微创介入手术治疗。科室迅速启动急诊手术绿色通道。术中,发现患者肠系膜上动脉起始处、距起始12cm处重度狭窄,15cm处完全闭塞,双侧肾动脉也有不同程度狭窄。随后,血管外科团队采用外周斑块切除系统清除肠系膜远端血栓,对重度狭窄处球囊扩张,操作精准、高效。术后造影显示,患者肠系膜上动脉管腔明显改善,血流量显著增加,无造影剂渗漏,手术成功,患者安返病房。


术后经过医护人员精心的治疗护理,患者腹部疼痛消失,饮食逐步过渡至正常饮食,生命体征平稳,目前该患者已痊愈出院。此次高龄复杂肠系膜上动脉栓塞患者的成功救治,是血管外科在急危重症血管疾病微创治疗领域的又一次成功实践,不仅考验了科室医生的临床诊断能力和手术操作水平,也体现了医院多学科协作的高效性。科室自成立以来,在庄百溪主任的指导下,不断攻克高难度血管外科手术,微创介入技术日益成熟,为众多血管疾病患者,尤其是高龄、基础病复杂的高危患者提供了安全、有效的治疗方案。未来,科室将继续深耕血管外科领域,以更精湛的技术、更优质的服务,为全疆患者的血管健康保驾护航。
专家简介
姓名:庄百溪
科室:血管外科
职务:血管外科名誉主任,中国中医科学院西苑医院周围血管科科室原主任。
职称:主任医师,副教授,硕士生导师。
学术任职:国家心血管病专家委员会血管外科专业委员会常务委员、下肢动脉疾病学组副组长;北京市中西医结合周围血管委员会主任委员;全国中国中西医结合学会周围血管委员会副主任委员;北京医学会血管外科专业委员会常务委员。同时兼任《中国血管外科杂志》、《中国中西医结合杂志》编委。
专业擅长:外周血管疾病的中西医结合诊疗;如肢体动脉疾病(糖尿病足、糖尿病血管闭塞的微创介入治疗;下肢动脉粥样硬化闭塞症的微创、开放手术治疗;血栓闭塞性脉管炎的中西医结合治疗);肢体静脉疾病(肢体静脉曲张、下肢深静脉血栓的微创治疗);弓上血管疾病(颈动脉、椎动脉、锁骨下动脉的狭窄/局部闭塞的开放和介入微创治疗;主动脉血管疾病(降主动脉、腹主动脉、髂动脉瘤/夹层、肺动脉栓塞的微创治疗);内脏动脉疾病(腹腔干、肠系膜动脉、肾动脉狭窄/闭塞的微创治疗);血管畸形/血管瘤的微创治疗;其他外周血管相关疾病的微创治疗等。
出诊时间:周一、周二、周六上午
姓名:冯涛科室:血管外科
职务:血管外科负责人,庄百溪工作室负责人职称:副主任医师,硕士生导师学术
任职:中国中西医结合学会周围血管疾病专业委员会新疆工作委员会副主任委员、中国中西医结合学会周围血管疾病专业委员会青年委员、中国中西医结合学会周围血管疾病专业委员会老年血管疾病专家委员会青年委员、中国微循环学会周围血管疾病专业委员会血栓防治专家委员会委员、中国微循环学会周围血管疾病专业委员会压力学组委员、亚太血管学术联盟出血性疾病防治专业委员、亚太血管学术联盟中西医血管病专家委员会委员。
专业擅长:血管外科疾病的开放手术和微创治疗,周围血管疾病的中西医结合诊治,疾病包括:颈动脉狭窄及血管瘤的开放/介入手术治疗,腹部大血管及内脏动静脉的腔内诊疗,四肢动脉缺血性疾病的开放/介入手术治疗,四肢静脉、淋巴管的阻塞性疾病,长期致力于外周血管疾病、疑难危重疾病的中西医综合诊治。
出诊时间:周二下午,周三上午